80 Harley Street, London | W1G 7HL
Understand why previous implant treatment may not have succeeded
Rebuild bone and gum foundations to support long-term implant success
Explore evidence-led options designed for complex restorative needs
Advanced Implant Assessment With Clinical Inclusions
(✔ CT scan included, ✔ PRF included (used in advanced implant protocols), ✔ 2 professional hygiene visits included)

Understand why previous implant treatment may not have succeeded
Rebuild bone and gum foundations to support long-term implant success
Explore evidence-led options designed for complex restorative needs


EXPERTS IN COMPLEX IMPLANT CARE
We focus on failing implants, peri-implant disease, bone loss, and gum recession — cases that require advanced corrective expertise.
FOUNDATION-LED TREATMENT APPROACH
Successful implants begin with healthy bone and gum structures. Our treatments prioritise rebuilding and stabilising foundations before restoration.
ADVANCED BIOLOGICAL SUPPORT (PRF)
PRF is incorporated to enhance healing, reduce complications, and support predictable long-term outcomes.
MULTI-DISCIPLINARY, EVIDENCE-LED CARE
Your treatment is guided by a clinician who teaches implant dentistry internationally and contributes to the development of advanced protocols.
Your £2,000+ Savings In A Glance
✔ PRF — £750 value
✔ CT scan — £99 value
✔ Hygiene — £135 value
✔ Sedation — £1,000 value
✔ Vitamin D testing — £50 value
Total included clinical value: £2,000+

EXPERTS IN COMPLEX IMPLANT CARE
We focus on failing implants, peri-implant disease, bone loss, and gum recession — cases that require advanced corrective expertise.
FOUNDATION-LED TREATMENT APPROACH
Successful implants begin with healthy bone and gum structures. Our treatments prioritise rebuilding and stabilising foundations before restoration.
ADVANCED BIOLOGICAL SUPPORT (PRF)
PRF is incorporated to enhance healing, reduce complications, and support predictable long-term outcomes.
MULTI-DISCIPLINARY, EVIDENCE-LED CARE
Your treatment is guided by a clinician who teaches implant dentistry internationally and contributes to the development of advanced protocols.
✔ PRF — £750 value
✔ CT scan — £99 value
✔ Hygiene — £135 value
✔ Sedation — £1,000 value
✔ Vitamin D testing — £50 value
Total included clinical value: £2,000+
Restoring Stability, Comfort & Confidence



Restoring Stability, Comfort & Confidence



What Your Consultation Is Designed To Provide

Your consultation is structured to allow sufficient time to assess implant concerns, bone levels, gum health, and previous treatment outcomes.
This is not a routine dental check-up — it is a detailed clinical evaluation intended for complex restorative situations.

CT imaging and diagnostic review are used to support careful planning and to help determine which treatment approaches are appropriate.
Where suitable, biological support such as PRF is considered to assist healing and long-term outcomes.

You’ll receive clear explanations on:
✔ What may be contributing to current implant or gum issues
✔ Which treatment options are clinically appropriate
✔ What next steps may be involved, should you wish to proceed

Your consultation is structured to allow sufficient time to assess implant concerns, bone levels, gum health, and previous treatment outcomes.
This is not a routine dental check-up — it is a detailed clinical evaluation intended for complex restorative situations.

CT imaging and diagnostic review are used to support careful planning and to help determine which treatment approaches are appropriate.
Where suitable, biological support such as PRF is considered to assist healing and long-term outcomes.

You’ll receive clear explanations on:
✔ What may be contributing to current implant or gum issues
✔ Which treatment options are clinically appropriate
✔ What next steps may be involved, should you wish to proceed
Advanced Implant & Grafting Treatments
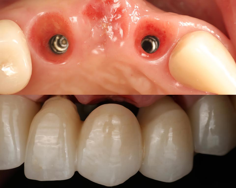
Failing Implant Treatment
Corrective implant care
Advanced restorative planning
From £4,750
Bone Grafting
Rebuild bone volume for implant stability
Support long-term oral health
From £2,500
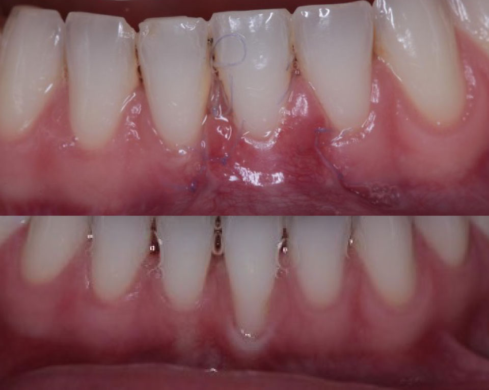
Gum Grafting
Treat receding gums
Protect teeth and implants
From £950
Expert in corrective implant care
Advanced grafting & peri-implant expertise
Evidence-led, biologically driven treatment
Complex implant and grafting cases require more than routine treatment — they require deep understanding, precision, and respect for biology.
At One to One Dental Clinic, our approach is grounded in rebuilding healthy foundations first. Through advanced diagnostics, grafting techniques, and biologically driven protocols such as PRF, we aim to restore stability, function, and long-term success — even in the most challenging cases.
Alongside clinical practice, my role in teaching and mentoring implant dentists internationally ensures that our patients benefit from the most current, evidence-led approaches available today.


Complex implant and grafting cases require more than routine treatment — they require deep understanding, precision, and respect for biology.
At One to One Dental Clinic, our approach is grounded in rebuilding healthy foundations first. Through advanced diagnostics, grafting techniques, and biologically driven protocols such as PRF, we aim to restore stability, function, and long-term success — even in the most challenging cases.
Alongside clinical practice, my role in teaching and mentoring implant dentists internationally ensures that our patients benefit from the most current, evidence-led approaches available today.
Expert in corrective implant care
Advanced grafting & peri-implant expertise
Evidence-led, biologically driven treatment